Advanced gum treatments effectively manage periodontal disease,
reduce inflammation, and restore healthy, supportive gum tissues.
Get In Touch
About Gum Treatments
Healthy Gums for Stronger, Lasting Smile Foundations
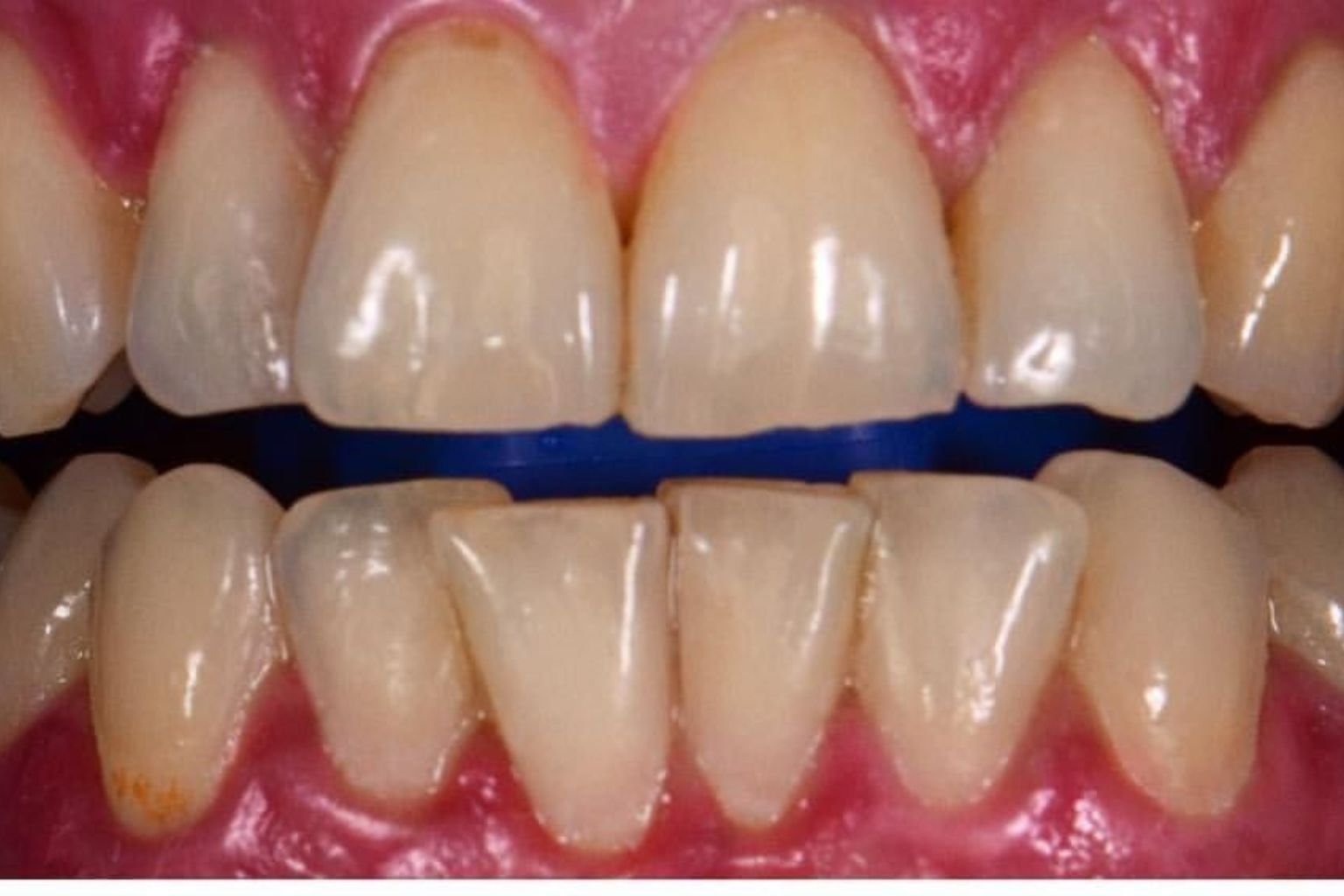
Gum treatments are essential for maintaining healthy gums and preventing periodontal disease, which can lead to tooth loss if untreated. At Seena’s Dental, we provide comprehensive gum care using advanced diagnostic tools and modern treatment techniques. Our procedures include scaling, root planing, infection control, and personalized maintenance plans to restore gum health effectively. Early intervention helps reduce inflammation, bleeding, and gum recession while protecting supporting bone structures. With expert care and regular follow-ups, we ensure long-term periodontal health and a strong foundation for your smile.
- Early Disease Detection Advanced diagnostics identify gum issues before serious damage.
- Deep Cleaning Procedures Thorough scaling removes plaque and harmful bacteria effectively.
How it Works?
Medications effectively reduce bacteria and promote faster gum healing.
Regular follow-ups prevent recurrence and maintain optimal gum health.
FAQS of Gum Treatments
Your Questions About Gum Treatments
Find detailed answers about gum disease, treatments, recovery time, prevention, andmaintaining long-term periodontal health.
Common signs include bleeding gums, swelling, redness, persistent bad breath, gum recession, and loose teeth. Early detection helps prevent severe complications and tooth loss.
Gum treatments are generally comfortable with local anesthesia. You may experience mild sensitivity afterward, which usually subsides within a few days.
Treatment duration depends on severity. Mild cases may require one or two visits, while advanced periodontal disease may need multiple sessions and follow-ups.
Early-stage gum disease can be reversed with proper treatment and hygiene. Advanced stages can be managed effectively to prevent further damage.
Maintain good oral hygiene, brush and floss daily, avoid smoking, eat balanced meals, and attend regular dental checkups to keep gums healthy.
See the Difference
Make your smile shine again

Drag

Drag